欢迎进入淮海名医网淮海健康在线
您现在的位置是:淮海名医网 > 全网新闻 > 新闻资讯 > 神器再发威——徐医附院胸心外科一天完成3例达芬奇机器人手术
神器再发威——徐医附院胸心外科一天完成3例达芬奇机器人手术
信息来自:徐州健康网    发布时间:2020-04-30 14:03:00    阅读量:8692次
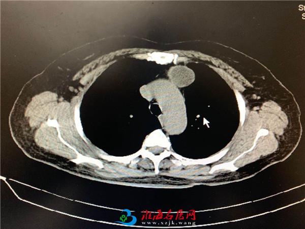
[摘要]:徐州健康:4月29日,心胸外科在麻醉科、手术室的帮助下顺利完成了3例达芬奇机器人辅助胸腔镜下胸部肿瘤切除术:第一例为一胸腺瘤患者,手术组经积极手术准备后,20分钟便完成肿瘤切除。

  4月29日,心胸外科在麻醉科、手术室的帮助下顺利完成了3例达芬奇机器人辅助胸腔镜下胸部肿瘤切除术:第一例为一胸腺瘤患者,手术组经积极手术准备后,20分钟便完成肿瘤切除。第2例为一胸顶的巨大畸胎瘤,与无名静脉密切粘连,术中手术组充分发挥机器人的优势,在高倍放大视野下成功切除肿瘤,避免伤及血管与神经。第三例是位于食管与胸主动脉之间的囊肿,手术仅用时15分钟,便完整切除肿瘤,同时避免伤及食管与主动脉。这组手术的顺利完成充分发挥徐医附院达芬奇机器人手术的优势。


扫一扫,分享本页