欢迎进入淮海名医网淮海健康在线
您现在的位置是:淮海名医网 > 全网新闻 > 新闻资讯 > 【徐州市中心医院科普时间】全瓷贴面美学修复,让牙齿悄悄变美
【徐州市中心医院科普时间】全瓷贴面美学修复,让牙齿悄悄变美
信息来自:徐州健康网    发布时间:2023-09-07 15:56:00    阅读量:483次
[摘要]:徐州健康:生活中,许多人会有这样的烦恼:吃饭时,由于菜卡在牙缝里而苦恼不已;拍照时,由于牙齿太黄不敢张嘴大笑;闲聊时,由于牙齿不整齐不敢加入......这里,我院口腔科副主任、副主任医

生活中,许多人会有这样的烦恼:

吃饭时,

由于菜卡在牙缝里而苦恼不已;

拍照时,

由于牙齿太黄不敢张嘴大笑;

闲聊时,

由于牙齿不整齐不敢加入......

这里,

我院口腔科副主任、副主任医师孟庆飞

有个牙齿变美秘籍要跟你分享。

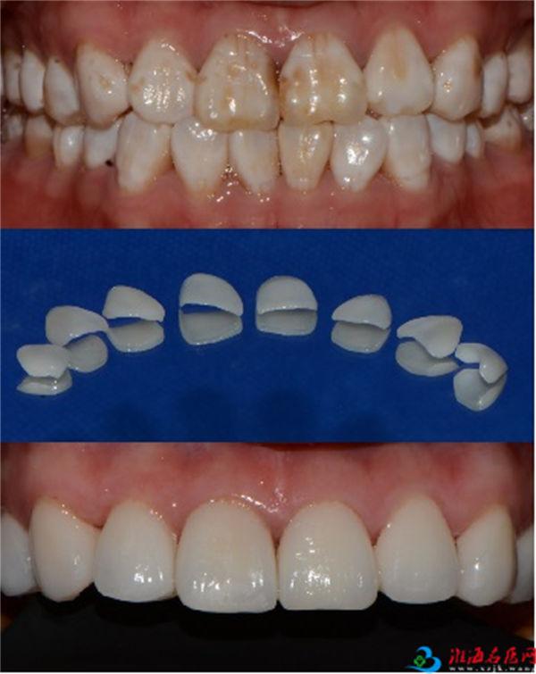
  “对于大家在意的牙齿黄、牙缝大、牙齿排列不整齐等牙齿美观问题,都可以通过全瓷贴面美学修复来解决。”孟庆飞表示,全瓷贴面美学修复,指采用粘接技术,对牙体缺损、着色、变色或畸形等异常改变,在保存活髓、少磨牙或不磨牙的情况下,以玻璃陶瓷作为贴面修复的首选材料进行直接或间接粘接覆盖,做到恢复牙体的正常形态和色泽的一种微创美学修复方法。

  疑问一:与常规烤瓷牙相比,全瓷贴面的优势在哪?

使用全瓷贴面美学修复技术前后对比图

  微创:全瓷贴面不需打磨天然健康牙或仅打磨少量唇侧面牙齿;

  美观:贴面厚度约0.3-0.7mm,通透性高,美学效果好;

  无痛:仅在牙釉质表层操作,对牙髓无刺激。

  疑问二:全瓷贴面修复的适应症有哪些?

  全瓷贴面是牙齿微创美学修复的首选治疗方法,可以获得美观效果的最大化,有一定的适用范围:

  (1)牙体表面缺损、釉质发育不全;

  (2)着色牙、变色牙;

  (3)畸形牙、过小牙;

  (4)牙间隙过大;

  (5)牙齿邻面龋或切端缺损者。

  疑问三:全瓷贴面修复的临床操作有几次?

  第一次治疗较为简单,仅少量牙体预备后直接取模、拍照比色即可;

  第二次复诊戴贴面时,因对贴面的粘接要求较高,全程精细化操作,需时相对较长,但全程无痛,不用担心。

  疑问四:全瓷贴面修复的注意事项?

  (1)因贴面其本身较薄,因此对于严重色泽、形态异常和牙齿缺损严重的患者,需要综合评估、精心设计、慎重选择;

  (2)全瓷贴面主要靠粘接固位,技术敏感性较高,对口腔医师的专业素养要求较高;

  (3)贴面修复后应保持口腔卫生,做好口腔护理,勿咬特别坚硬的食物,如瓜子壳等坚果、煎饼等。

  (4)一旦出现贴面松动、牙龈出血等,应及时就诊处理。

本文作者

  孟庆飞

  口腔科副主任、副主任医师

  南京医科大学口腔修复学博士

  徐州医科大学博士后(在站)

  徐州医科大学、蚌埠医学院硕士生导师,江苏省第五期“333高层次人才培养工程”第三层次培养对象,江苏省青年医学人才,徐州市医学青年后备人才,徐州市拔尖人才,江苏省口腔医学会口腔材料专业委员会常务委员,江苏省口腔医学会口腔修复专业委员会委员。

  从事口腔修复学临床、教学和科研工作十余年,主要擅长于各类固定、活动义齿修复及复杂疑难修复治疗,尤其在残冠残根保存修复、贴面、牙齿微创漂白、种植修复等方面具有丰富的经验。累计发表各类学术论文31篇,其中SCI收录6篇,承担省市级科研课题9项,获省市级科学技术奖、新技术引进奖等十余项。

  门诊时间:周一至周五全天


扫一扫,分享本页