欢迎进入淮海名医网淮海健康在线
您现在的位置是:淮海名医网 > 全网新闻 > 儿科指南 > 徐州医科大学附属医院呼吸内镜技术助力商州区人民医院成功救治气道异物患儿
徐州医科大学附属医院呼吸内镜技术助力商州区人民医院成功救治气道异物患儿
信息来自:徐州健康网    发布时间:2024-10-30 13:49:00    阅读量:13517次
[摘要]:徐州健康:10月22日,徐医附院呼吸与危重症医学科孙理想副主任医师在对口帮扶陕西省期间,在商洛市商州区人民医院耳鼻喉科和麻醉科的配合下,成功救治了一例气道异物的儿童。当日下午,徐医附

  10月22日,徐医附院呼吸与危重症医学科孙理想副主任医师在对口帮扶陕西省期间,在商洛市商州区人民医院耳鼻喉科和麻醉科的配合下,成功救治了一例气道异物的儿童。

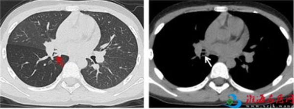
  当日下午,徐医附院耳鼻喉科对口帮扶专家曹恒明主任医师在商洛市商州区人民医院门诊接诊一名“含咬笔帽时突发呛咳”的8岁小学生,考虑支气管异物可能,已紧急进行胸部三维CT检查,并联系呼吸与危重症医学科孙理想副主任医师。孙理想立即前往门诊查看患儿,发现患儿已有阵发性咳嗽症状,听诊右下肺呼吸音完全消失。胸部CT显示右中间段支气管异物合并阻塞性炎症,右肺下叶空气潴留征象。经过仔细查看胸部CT,孙理想判断笔帽异物可能开口朝下,这大大增加了取出的难度。目前,经支气管镜异物取出术是首选的解决方法。由于商州区人民医院之前未开展过全麻支气管镜手术,曹恒明与孙理想立即联系了麻醉科和手术室等多科室医生进行了综合讨论,完善术前准备后决定在急诊进行全麻下的经支气管镜异物取出术。

  术中,孙理想迅速利用手术室现有的胆道取石网篮(由于其为胆道镜专用,长度较短,无法直接与支气管镜配合),拆除网篮操纵杆的保护套后重新组装,试图套住异物。然而,异物的光滑表面和弹性使得取出过程充满挑战,稍一收缩便可能弹出。孙理想沉着应对,采用内撑式反张钳法,将活检钳小心地插入硅胶笔帽,保持撑开以固定异物,他缓慢旋转方向,终于成功通过声门,将异物顺利取出。术后,患者的生命体征逐渐稳定,在接下来的雾化和抗感染治疗中,经过3天的精心护理,患儿顺利康复出院,重返健康生活。

  支气管镜检查是诊断气管、支气管异物的金标准之一,可直接明确诊断并根据异物大小、形态、性状及所处位置,选择合适辅助配件进行异物取出,如网篮、异物钳、球囊导管、冷冻探头和激光等,特别适用于气管、支气管异物等危急重症。徐医附院呼吸内镜中心近年来积极开展呼吸内镜诊疗新技术,目前常规开展了硬质支气管镜、冷冻肺活检、导航支气管镜、球囊扩张、电切、圈套、氩气刀、冷冻、激光和气管支架等四级呼吸内镜手术,并为对口帮扶单位开展呼吸内镜技术提供技术指导和帮助,推动了区域内呼吸内镜技术发展。


扫一扫,分享本页