欢迎进入淮海名医网淮海健康在线
您现在的位置是:淮海名医网 > 全网新闻 > 新闻资讯 > 徐州医科大学附属医院肿瘤放疗科“空间分割放疗”新技术效果显著
徐州医科大学附属医院肿瘤放疗科“空间分割放疗”新技术效果显著
信息来自:徐州健康网    发布时间:2025-02-25 13:40:00    阅读量:10849次
[摘要]:徐州健康:近日,肿瘤放疗科成功开展国际先进的空间分割放疗技术,使一位80岁高龄患者体内的巨大恶性肿瘤几乎完全消失,为空间分割放疗技术成为攻克巨大肿瘤的“利器”再添新证。 一、病例分

  近日,肿瘤放疗科成功开展国际先进的空间分割放疗技术,使一位80岁高龄患者体内的巨大恶性肿瘤几乎完全消失,为空间分割放疗技术成为攻克巨大肿瘤的“利器”再添新证。

 一、病例分享

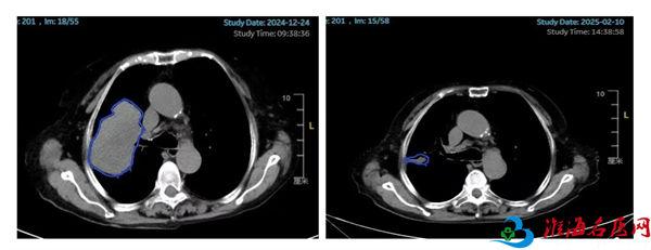
  80岁的患者李女士(化名)2024年2月确诊为右肺腺鳞癌,经过靶向治疗、化疗后出现多次进展。2024年12月24日查胸部CT提示右肺上叶病灶增大至95mm×64mm(图1左侧所示)。考虑肿瘤体积巨大,肿瘤内部可能出现坏死、乏氧,常规放疗难以取得理想的治疗效果,并且大概率会对肿瘤周围的心脏、肺、臂丛神经等正常组织造成较大损伤,严重影响患者的生活质量,肿瘤放疗科副主任丁昕组织蒋爱军主任医师、李亮副主任物理师等团队成员进行综合评估和细致讨论,决定采用空间分割放疗技术。李女士整个疗程接受了6次放疗(常规放疗一般至少需要30次),住院时间明显缩短。治疗结束后李女士自觉咳嗽症状明显好转,1月后,2025年2月10日复查胸部CT提示右肺上叶的巨大肿瘤几乎完全消失(图1右侧所示),取得了出乎意料的治疗效果。

图1.患者治疗前后的影像对比(蓝色标记的为肿瘤部位)

 二、空间分割放疗技术

  空间分割放疗技术是一种国际先进、可以有效治疗巨块难治性肿瘤的精确放疗新技术,对中晚期大肿瘤的总体局控率高达80%~90%,通过将肿瘤治疗体积划分为部分子体积,将放疗高剂量和放疗低剂量在子体积之间交替,从而在三维空间上实现高度不均匀的剂量分布(图2),最终实现较好的局部控制率和较低的毒性。

图2.空间分割放疗技术的剂量分布图

  空间分割放疗技术的适应症包括所有大体积实体肿瘤(>5cm),包括头颈部鳞癌、软组织肉瘤、宫颈癌、肺癌、食道癌、神经系统肿瘤、乳腺癌、前列腺癌、肝癌、胰腺癌、结直肠癌、胃癌、黑色素瘤等。

  空间分割放疗技术的禁忌症为:1.有出血、穿孔倾向的空腔脏器肿瘤。2.神志不清、生活不能自理的患者。3.预计生存期低于3个月的患者。

 三、徐医附院肿瘤放疗科介绍

  徐医附院肿瘤放疗科是江苏省省级临床重点专科、国家药物临床试验基地、江苏省“科教强卫工程”创新团队、中国抗癌协会指定肿瘤放疗培训基地、江苏省放射治疗质量控制示范基地、江苏省医学会放射肿瘤学分会副主委/徐州市医学会及医师学会放射肿瘤学分会主委单位。

  科室目前设门诊、病房和放疗中心三个部分,总核定床位208张,开设5个病区:头颈肿瘤病区、胸部肿瘤病区、腹部肿瘤病区、妇科肿瘤病区、立体定向放疗病区,在苏北地区率先按亚专科管理,使肿瘤的治疗更加精细化、专业化、规范化。科室在医院党委的正确领导下,在章龙珍教授、丁昕主任的带领下,瞄准国际医疗技术前沿,发展特色医疗,其医疗技术、人才培养和临床科研等方面在江苏省内保持领先地位。科室将继续加强医疗队伍建设,不断深化肿瘤精准放疗新技术的临床实践与探索,为广大肿瘤患者的精准治疗带来新希望。


扫一扫,分享本页