欢迎进入淮海名医网淮海健康在线
您现在的位置是:淮海名医网 > 全网新闻 > 儿科指南 > 徐州市儿童医院专家提醒:关注儿童及青少年胸壁隆起--鸡胸
徐州市儿童医院专家提醒:关注儿童及青少年胸壁隆起--鸡胸
信息来自:徐州健康网    发布时间:2023-03-24 10:05:00    阅读量:9702次
[摘要]:徐州健康:1.什么是鸡胸?鸡胸其特征是胸壁前凸突出,又称船状胸、鸽胸等,发病率仅次于漏斗胸,为第二常见的胸壁畸形,男女比例为4:1。2.鸡胸是缺钙引起的吗?鸡胸的病因至今尚不完全明确,有

  1.什么是鸡胸?

  鸡胸其特征是胸壁前凸突出,又称船状胸、鸽胸等,发病率仅次于漏斗胸,

  为第二常见的胸壁畸形,男女比例为4:1。

  2.鸡胸是缺钙引起的吗?

  鸡胸的病因至今尚不完全明确,有学者认为鸡胸发病多与钙磷代谢有关。目前更多提出的发病机制:与基因相关的肋软骨发育异常、肋软骨生化异常。约30 %的人群有鸡胸家族史,高达15 %的患者中,与脊柱侧凸和其他脊柱畸形也有很大的相关性,提示存在机体结缔组织疾病。所以鸡胸不能单纯地归因于缺钙。

 3.鸡胸多发于哪个年龄段?

  鸡胸在出生时很少见,它通常在儿童期出现、发展,并在青少年早期变得明显。

 4.鸡胸有什么影响?

  多数患儿无明显的临床症状,仅因外观问题就诊。特别严重的鸡胸表现的症状为:劳力性呼吸困难、运动受限、频繁的呼吸道感染和胸部不适或疼痛。

  5.鸡胸通过运动能改善吗?

  关于运动疗法已逐渐达成共识:运动治疗在个体鸡胸的效果上并无改善。一般来说,运动尤其是游泳,健美运动可以掩盖畸形。然而,在16岁或18岁之前不推荐使用此法。

  6.除了做手术,鸡胸可以保守治疗吗?

  鸡胸支具矫形系统———通过佩戴定制的合适的支具,在患儿胸部上施加压力,通过长时间对畸形施加连续的直接压力,使得肋软骨能够重塑。胸壁顺应性好的患儿对这种治疗最为敏感;因此,最好青春期前儿童。因为需要长期佩戴,这种保守治疗的局限性在于患者的年龄及其依从性,很大比例的患者放弃了治疗。

  7. 什么样的鸡胸需要手术治疗?

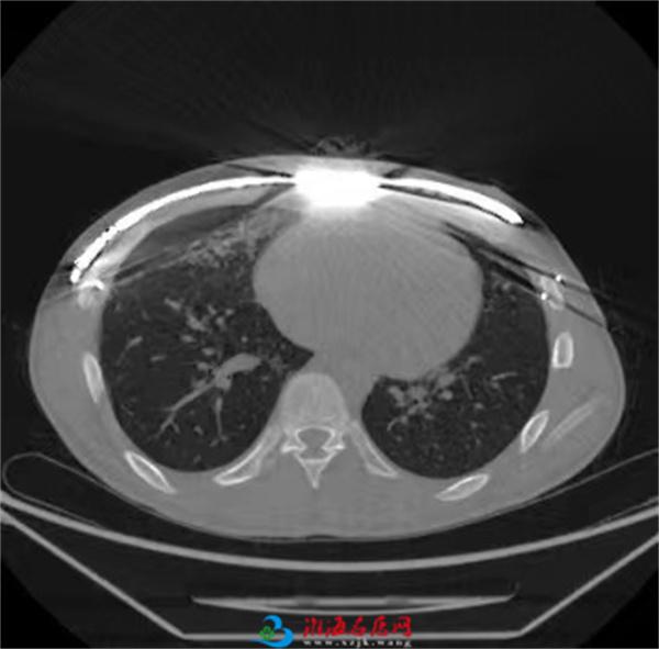
  微创鸡胸反NUSS手术适应证:①CT Haller指数<2.30;②存在与鸡胸相关的心肺功能异常;③支具治疗无法耐受或失败,寻求微创手术治疗;④心理健康受到影响,寻求手术治疗。

  胸部CT Haller指数测量

  8.手术怎么治疗,效果如何?

  目前效果最好并被广泛接受手术方式是由Abramson根据漏斗胸微创治疗Nuss术,提出鸡胸反Nuss术。微创鸡胸反Nuss法操作简单,创伤小,恢复快,临床效果满意。

手术

术后影像

术前和术后两年胸部CT对比

术前和术后两年外观对比

   徐州市儿童医院李迎医师提醒患儿家长,关注儿童及青少年胸壁畸形,发现问题及时就诊。

  李迎 

  主治医师

  毕业于徐州医科大学临床医学系,从事小儿心胸外科10余年。

  现任中国妇幼协会第二届儿胸外科学组委员。

  2019年在国家级儿童诊疗中心—-北京儿童医院进修学习,并多次在上海交通大学附属上海儿童医学中心、北京阜外医院等国家级心脏中心学习交流。

  专业特长:小儿胸部疾病的微创治疗:胸壁畸形(漏斗胸、鸡胸、叉状肋)矫治,胸腔镜下先天性肺囊性病(肺囊腺瘤畸形,隔离肺等)微创切除,膈疝膈膨升微创修补。

  小儿先天性心脏病的微创及手术治疗。各种复杂性先心病手术治疗。


扫一扫,分享本页