欢迎进入淮海名医网淮海健康在线
您现在的位置是:淮海名医网 > 全网新闻 > 男性健康 > 徐州市中医院介入疗法 | 股骨头坏死的真相
徐州市中医院介入疗法 | 股骨头坏死的真相
信息来自:徐州健康网    发布时间:2024-03-21 15:18:00    阅读量:13271次
[摘要]:徐州健康:股骨头坏死是什么股骨头坏死,亦称股骨头缺血性坏死或股骨头无菌性坏死,好发于中青年男性,是由于股骨头供血血管血液循环障碍所致,主要分为创伤性股骨头坏死和非创伤性股骨头坏

  股骨头坏死是什么

  股骨头坏死,亦称股骨头缺血性坏死或股骨头无菌性坏死,好发于中青年男性,是由于股骨头供血血管血液循环障碍所致,主要分为创伤性股骨头坏死和非创伤性股骨头坏死两大类,病因和发病机制复杂。

  创伤性股骨头坏死

  创伤性股骨头坏死为股骨头颈部骨折、髋关节脱位等外伤因素导致股骨头供血动脉损伤。

  非创伤性股骨头坏死

  非创伤性股骨头坏死主要包括长期使用糖皮质激素、酗酒、系统性红斑狼疮、减压病、血液系统疾病、放射线接触、妊娠和艾滋病等,上述危险因素通过不同途径影响股骨头血供,导致股骨头骨质因缺血而坏死。

  近年来,由于广大群众对激素所致股骨头坏死的重视,其在股骨头坏死影响因素中有逐年下降的趋势,而酗酒所致的股骨头坏死逐渐被大家重视。资料显示,每周酒精摄入量在400 ~1000 ml者,发生股骨头坏死的风险增加9. 8 倍,大于 1000 ml者风险增加达17. 9 倍。

  怎么判断

  是不是股骨头坏死?

  早期股骨头坏死主要为髋关节部疼痛,前侧可放射至大腿内侧达膝关节部,后侧可放射至后臀部。疼痛在开始行走时明显,严重者影响行走及关节活动功能。疼痛程度与股骨头骨质坏死程度不呈正相关。股骨头坏死的诊断主要依靠影像学检查,包括X线片、CT、MR检查,其中,X线片主要观察关节结构及骨质变化,CT可以精准观察骨质变化,MR主要观察坏死区域及骨髓腔、周围软组织肿胀情况。三者观察的角度不同,各有优缺点,三者结合才能对股骨头坏死的病情做出准确判断。根据影像特点,一般将股骨头坏死的病程分为四期,1期为早期,X线片及CT观察不清,主要依靠MR诊断;4期为晚期。

  得了股骨头坏死怎么治疗?

  股骨头坏死是疑难症,目前尚没有彻底根治的方案。虽然股骨头坏死最终的治疗手段均为髋关节置换术,但是人工关节的寿命仅为 15-20 年,而非创伤性股骨头坏死的好发人群为 20-50 岁的中青年,一期关节置换术后往往需再次行关节翻修术,给医患均带来极大的压力。因此,对于股骨头坏死患者,尤其是中青年患者,缓解疼痛、尽可能保留关节功能、延缓甚至避免关节置换具有重要的临床意义与社会价值。

  目前股骨头坏死前期的保髋治疗包括保守治疗及手术治疗。保守治疗包括:限制负重、药物治疗、体外震波疗法、高压氧疗法等。手术治疗包括:髓芯钻孔减压及在此基础上进行的钽棒植入、植骨、骨髓间充质干细胞移植、截骨术、介入局部动脉药物灌注等。单纯髓芯减压对于早期坏死改善病情进展的成功率为 80%左右。

介入为主的

  中西医结合综合治疗

  介入治疗是通过经皮肤穿刺技术,以导管寻找到股骨头供血动脉血管,将解痉、溶栓、活血化瘀等药物以加压的方式灌注,达到改善股骨头血液循环的目的。坏死的股骨头因血液循环改善,能够促进股骨头内坏死病灶修复,有利于延缓或避免病情进展。介入治疗主要适用于1期、2期、3期患者。

  徐州市中医院介入科施行以介入为主、中西医结合综合治疗的方案,即:先行介入手术,股骨头供血改善后再以扩血管、抗凝等药物应用,进一步改善股骨头供血,同时辅以消肿镇痛药物外敷+理疗,促进股骨头周围软组织肿胀的缓解,再以针对不同证型的中药方剂内服。目前,已成功治疗300余例患者,近期疼痛等症状缓解率达92%,远期效果有资料记载者已达16年。

  总之,介入治疗股骨头坏死的主要目标是:在有效消除患者疼痛、恢复正常生活的前提下,尽可能保留关节功能、延缓甚至避免关节置换手术的保髋治疗。

  典型病例介绍

  病例1

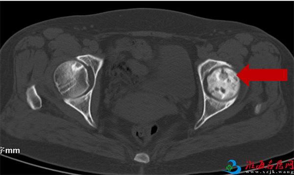
  杜女士,47岁,2020年7月29日因“左下肢酸痛不适7天”,拟诊“腰椎间盘突出”来到我院,经CT、MR等检查,明确诊断为“左股骨头缺血性坏死”,二期病变。

2020年8月6日CT:左股骨头囊样坏死区

  分别于2020年8月7日、2020年10月12日行两次介入手术及相关中医药综合治疗,左下肢酸痛不适消失,恢复正常生活。

2020年8月7日介入手术,探查左股骨头供血动脉

介入手术中

2022年7月11日CT:

左股骨头坏死区缩小,

周围骨质明显生长、修复。

  2022年7月复查显示:原股骨头坏死区明显缩小,囊变不明显;关节腔积液、骨髓水肿明显缓解。现无特殊不适,正常生活。

  病例2

  52岁的周先生,于2008年12月明确诊断为“右侧股骨头缺血性坏死”,二期病变,外院建议“人工关节置换术”,患者拒绝。于2008-12-12首次在我院介入手术治疗,后间断行介入手术治疗9次,末次复查为2021-05-20日,显示右侧股骨头坏死三期,左侧股骨头正常。2024年3月电话随访周先生,自述病程已逾15年,除了介入治疗外,未行关节置换手术。如今,他身体无特殊不适,非常感谢徐州市中医院介入科的精湛诊疗,让他重拾健康,正常生活。

2008年10月21日CT显示:

右股骨头坏死二期

2021年05月20日末次复查CT显示:

右股骨头坏死三期,左股骨头正常

  专家介绍

  尹文州

  主任医师  教授 

  介入科科主任

  徐州市医学会介入放射学专业委员会副主任委员,江苏省医学会介入医学分会非血管介入学组成员。

  擅长外周血管、肿瘤及综合介入、神经血管介入。获徐州市医学新技术引进奖二等奖1项,三等奖1项。


扫一扫,分享本页