欢迎进入淮海名医网淮海健康在线
您现在的位置是:淮海名医网 > 全网新闻 > 女性健康 > 命悬一线!徐州市第一人民医院呼吸专家镜下治疗解除狭窄,畅通患者呼吸之道
命悬一线!徐州市第一人民医院呼吸专家镜下治疗解除狭窄,畅通患者呼吸之道
信息来自:徐州健康网    发布时间:2024-08-01 10:11:00    阅读量:10726次
[摘要]:徐州健康:近日,饱受憋喘症状所折磨的杜女士来到徐州一院呼吸与危重症医学科就诊。三病区主任崔文洁了解发现杜女士既往有甲状腺恶性肿瘤病史,现出现多部位脏器及淋巴结转移,近期胸部CT可

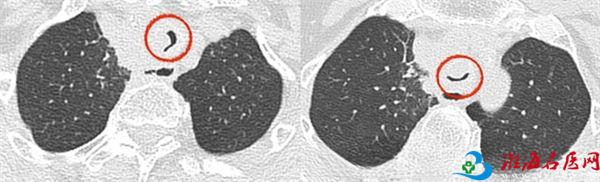
  近日,饱受憋喘症状所折磨的杜女士来到徐州一院呼吸与危重症医学科就诊。三病区主任崔文洁了解发现杜女士既往有甲状腺恶性肿瘤病史,现出现多部位脏器及淋巴结转移,近期胸部CT可见气管旁占位及气管内肿物,是导致反复出现胸闷、憋喘不适的原因。由于杜女士气道内肿物大,有较大的出血及窒息等风险,且距离声门较近(仅4厘米),手术操作难度大,辗转多家医院均因难度大、风险高而未实施气管镜下腔内介入治疗。她即刻为患者安排绿色通道,完善相关检验、检查,评估病情,为支气管镜检查做术前准备。

  该患者气管内占位较大(长度达2.5厘米)导致管腔严重狭窄、麻醉后气道塌陷、肿物距声门较近、肿瘤基底部厚、可能出血较多等多重难点。在病区主任崔文洁的主持下,经过团队详细讨论,决定对杜女士实施全麻支气管镜下腔内介入治疗。为保证手术顺利实施,科室制定了缜密的手术方案及应急预案,与麻醉科密切协作,充分做好术前准备及评估。

  7月23日,主任医师施海和副主任医师陈云峰、袁杰清相互配合,经细致术前准备,对患者实施全麻支气管镜下腔内病变高频电刀、氩离子凝固、冷冻联合治疗。全麻经喉罩进镜后,声门下4厘米处见管腔内新生物,导致管腔重度狭窄,直径6毫米左右的气管镜勉强可挤过气道。

  专家们运用电刀与氩气刀切除气道内占位,切除后的创面冻融处理,避免增生。手术过程约40分钟,术中患者生命体征平稳,活检部位仅少量出血。术后患者胸闷、憋喘症状得到明显改善。 

  崔文洁介绍,高频电刀是一种将电能转换成热能,切除病变组织或消融的热凝切技术。氩气刀是一种非接触式电极,具有切除面积大、穿透深度可靠、操作过程中烟雾少及无异味、能快速止血、快速切除病变等优势。冷冻技术可冷冻组织产生微血栓,致其细胞坏死凋亡,减少术中出血量,并可迅速减轻患者气道的阻塞程度,缓解呼吸困难等症状。高频电刀与氩气刀、冷冻技术的联合应用,处理气道内肿物解除呼吸道梗阻是腔内介入技术应用之一,联合腔内的介入技术切除肿物具有手术创伤小,并发症少,术后恢复快的特点。

  高频电刀、氩气刀与冷冻技术的熟练应用,彰显了徐州一院呼吸与危重症医学科支气管镜下介入技术的雄厚实力。崔文洁表示,今后将继续提高呼吸疑难病症及危重症的诊疗能力,为广大人民群众提供更加优质、精准的医疗服务。

  专家介绍

  崔文洁

  呼吸与危重症医学科三病区主任

  硕士研究生导师

  教育部国家级呼吸重大项目评审专家

  科技部国家专家库专家

  江苏省医学会呼吸分会间质病学组委员

  江苏省医学会呼吸分会肺癌学组委员

  江苏省医学会医疗事故、伤残鉴定专家组专家

  徐州市健康管理学会睡眠呼吸障碍委员会副主任委员

  徐州市医学会呼吸分会常务委员

  徐州市免疫学会小细胞肺癌肿瘤治疗专业委员会常务委员

  徐州市铜山区人大代表

  主持多项国家及省、市科研课题,获市政府科技进步奖。三十余篇论文发表于SCI及核心期刊杂志。

  专业特长:擅长各种难治性肺部感染、肺部肿瘤、间质性肺疾病、慢性咳嗽、肺结节、慢性阻塞性肺疾病、支气管哮喘以及其他呼吸系统疾病,精通呼吸专业各种诊疗操作。

  高级专家门诊:周一下午

  门诊地点:门诊楼(3号楼)4层高级专家门诊

  专家门诊:周二全天

  门诊地点:门诊楼(3号楼)2层1诊区

  施海

  呼吸与危重症医学科三病区副主任

  主任医师

  亚洲冷冻治疗学会(ASC)委员

  徐州市健康管理学会呼吸睡眠障碍专业委员会副主任委员

  徐州市免疫学会感染免疫专委会副主任委员

  徐州市医学会细菌感染与耐药防治专业委员会委员

  曾作为徐州市第一批援鄂医疗队队长带队支援武汉,被评为江苏省抗疫先进个人、徐州市优秀共产党员。熟练掌握呼吸内科常见病、多发病及危重症的诊断治疗与抢救。

  专业特长:擅长肺部感染、慢性阻塞性肺病、哮喘、间质性肺病及肺部恶性肿瘤等疾病的诊疗。精通支气管镜操作、经皮肺穿刺活检,尤其是气管镜常规检查及介入治疗。在省级及国家级期刊发表论文多篇。

  专家门诊:周五全天

  门诊地点:门诊楼(3号楼)2层1诊区

  袁杰清

  副主任医师,医学硕士

  熟练掌握呼吸科常见病、多发病的诊疗,如慢性咳嗽、慢性阻塞性肺疾病、慢性肺源性心脏病、支气管扩张、支气管哮喘、气胸、胸腔积液、间质性肺病等疾病的诊治,尤其擅长呼吸科急危重症的抢救治疗。在省级以上专业期刊杂志发表论文数篇。被评为2022年徐州市十大医德标兵。

  陈云峰

  副主任医师,医学硕士

  徐州市睡眠呼吸障碍专业委员会委员

  亚洲冷冻专业学会青年委员

  毕业后曾至北京天坛医院、中日友好医院(国家呼吸中心)进修,主要从事呼吸系统疾病的诊断与治疗,尤其是在呼吸系统慢性病如慢性阻塞性肺疾病、间质性肺疾病以及急、慢性呼吸衰竭上有着丰富的临床经验。擅长气管镜下各种诊断和治疗性操作,包括经硬质支气管镜、超声内镜引导下的经支气管针吸活检(EBUS-TBNA)、气管支架置入、经支气管镜电凝、氩等离子体凝固术(APC)、冷冻、球囊扩张等。

  在疫情防控期间,曾带领医疗队支援徐州市传染病院,并荣获“优秀抗疫个人”以及“优秀抗疫团队”等荣誉;在科研方面,能够深入钻研临床工作中出现的问题并转化为课题进行研究,目前参研徐州市多项课题,并发表多篇SCI及核心期刊论文。


扫一扫,分享本页