欢迎进入淮海名医网淮海健康在线
您现在的位置是:淮海名医网 > 全网新闻 > 男性健康 > 眼睛出问题,病根儿却在脑袋里!——徐州市第一人民医院神经外科成功为一名巨大侵袭性垂体瘤患者揪出潜藏的“元凶”
眼睛出问题,病根儿却在脑袋里!——徐州市第一人民医院神经外科成功为一名巨大侵袭性垂体瘤患者揪出潜藏的“元凶”
信息来自:徐州健康网    发布时间:2024-08-24 08:39:00    阅读量:10996次
[摘要]:徐州健康:常言道,小个子往往蕴含大能量。在我们人体中,垂体就是这样一个不容小觑的“厉害角色”。 正常人的垂体虽然只有黄豆大小,但却是人体最重要的内分泌腺,“掌管”着多种重要激素的

  常言道,小个子往往蕴含大能量。

  在我们人体中,垂体就是这样一个不容小觑的“厉害角色”。

  正常人的垂体虽然只有黄豆大小,但却是人体最重要的内分泌腺,“掌管”着多种重要激素的分泌,对机体的代谢、生长、发育和生殖等有重要作用。

  由于垂体深藏头颅腹地,周围机关重重,一旦搞起事来,常常让许多医生也束手无策,令患者苦不堪言,今年40出头的W先生(化姓)就深受其害。

  近两个月来,在徐州工作的W先生感觉自己看东西清晰度下降,以为是眼睛出了问题,就慕名来到徐州市第一人民医院,找到眼科专家戈振华主任就诊。

  检查发现患者视力减退明显,左眼仅为0.15,视野检查:双眼颞侧偏盲。

  戈振华初步判断:患者的“病根儿”应该在颅内,行头颅CT,显示鞍区占位。

  徐州一院神经外科神经功能亚专业组组长、副主任医师汤计磊会诊后,结合专科体检和患者头颅CT报告,考虑垂体瘤可能,已出现视神经压迫症状,建议住院进一步检查和治疗。

  巨大肿瘤包绕重要血管神经,让手术风险激增

  据了解,垂体瘤是一种常见的颅内良性肿瘤,常见的症状为视力下降、视野缺损和不同类别的内分泌症状。但W先生脑袋里的这个肿瘤却很不一般。

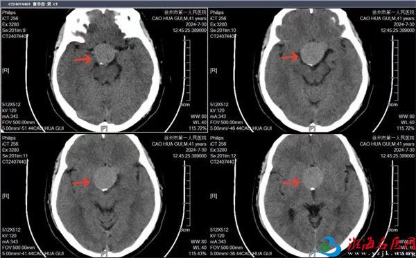
  “入院行磁共振检查,诊断为:侵袭性垂体腺瘤,Knosp 4级。鞍区见4.5cmx3.2cmx3.6cm团块影,形态欠规则,局部分叶状;病灶向上突入鞍上池,挤压并突入三脑室;大脑前动脉、前交通动脉挤压移位;垂体柄及视交叉显示不清,病灶部分包绕两侧颈内动脉。”

  “垂体相关激素检查虽无明显异常,但瘤体挤压视交叉压迫严重,视力减退,视野缺损、双颞侧偏盲,有明确的手术指征。”汤计磊把手术的必要性详细告知患者。

  不及时手术,病情会进一步加重;而接受手术治疗,手术中万一伤到了临近的血管和神经,会不会留下后遗症……自己这么年轻,给脑袋开刀这可不是小事,寝食难安的W先生到处打听,多家医院的神经外科专家看了影像资料后都表示,一次性把肿瘤切干净难度很大。这让W先生忧心忡忡。

  与此同时,徐州一院多学科专家团队正在为手术方案的选择、应急预案的准备进行着积极地讨论。

  多学科专家会诊,明确手术路径

  徐州一院神经外科副主任、主任医师渠敬峰主持召开了四级手术术前多学科会诊讨论,并专门邀请在该院建立专家团队工作站的国内神经外科知名专家、博士生导师、江苏省医师协会神经外科分会候任主任委员、苏州大学附属第一医院神经外科虞正权教授,和徐州一院医学影像科、麻醉科等相关专家、护理团队共同参加。

  “因瘤体巨大,主要向上生长,病灶向上突入鞍上池,三脑室受压并突入,患者经鼻蝶手术肿瘤全切率不高。”虞正权教授表示,“另外前交通动脉复合体受压严重、垂体柄及视交叉显示不清,病灶部分包绕两侧颈内动脉。出血后止血难度大,开颅手术更为适宜。”

  专家们结合患者的病情,围绕手术入路该如何选择,是经鼻蝶入路、开颅手术,还是联合手术切除,以及麻醉监测重点,术中及术后护理要点等进行详细的讨论,最终达成一致意见:行开颅手术。

  得知这么多的专家共同为自己的手术制定了周密的方案和实施计划,W先生提着的心渐渐放了下来,他不知道的是,医务人员和他一起承担了巨大的手术风险。

 手术精细程度堪比螺蛳壳里做道场

  8月4日,徐州一院手术室。

  经过周密的术前评估、准备,虞正权教授和徐州一院神经外科副主任医师汤计磊、床位医师赵赛赛,在麻醉科副主任戴必照、主治医师李春伟和手术室护理团队周慧、孙盼的密切配合下,联合为W先生实施了开颅经额前纵裂入路显微镜下垂体瘤切除术。

  既要切除肿瘤,又要最小的创伤,对术者而言,这台手术无疑是一次挑战。肿瘤“藏”在大脑深部最中央,周围神经、血管密布,手术操作空间狭小,风险高、难度大,稍有不慎,后果将不堪设想。

  手术过程紧张有序。鉴于瘤体较大,为了切除肿瘤的同时保护好周围组织,专家团队在显微镜下,仔细分离出每一根被肿瘤组织包裹的血管和神经并保护,在极其狭小的间隙将肿瘤组织分块切除,虞教授深厚的解剖学功底和娴熟轻柔的手法,仿佛是工艺大师在对一件艺术品进行精细的雕琢。

  时间一分一秒的过去,手术进入尾声。

  瘤体顺利切除。

  前交通动脉及其分支、视交叉等重要的血管神经都完好无损。

  手术顺利完成。

  术后,W先生恢复良好,并于不久前康复出院。

 科室介绍 

  徐州市第一人民医院神经外科是徐州市医学重点专科。国家级神经系统疾病治疗联盟单位,国家级意识障碍研究联盟单位。国家著名神经外科专家北京中日友好医院于炎冰教授工作站、苏州大学附属第一医院虞正权教授专家团队工作站均落户于此。

  科室设备先进精良,拥有大型手术显微镜,神经内窥镜、脑室镜、手术动力系统等先进设备仪器,保证了复杂手术的安全进行。病房设备完善的神经外科监护室及中心监护系统保证了病员术后的观察治疗。

  科室常规开展手术项目包括:

  1、颅内各类脑膜瘤、胶质瘤、垂体瘤、听神经瘤、颅咽管瘤、椎管内脊髓肿瘤、脑积水、颅骨缺损、各型颅脑外伤的抢救、脑出血、大面积脑梗死的抢救;

  2、微血管减压治疗三叉神经痛、面肌抽搐、脑瘫等功能神经微创手术;

  3、颅内复杂的脑血管畸形切除术,各部位颅内脑动脉瘤夹闭术;

  4、顽固性癫痫的手术治疗、帕金森病(DBS)脑深部电刺激治疗;

  5、斜坡肿瘤,听神经瘤切除功能保留,脑干肿瘤切除,脊髓髓内肿瘤切除,颅底肿瘤切除,海绵窦肿瘤切除,枕大孔区肿瘤切除,颅眶、颅鼻沟通肿瘤等复杂手术;

  6、成熟开展神经内镜下鞍区病变切除,使神经外科真正走向微创、精准治疗,使病患得到最大程度减小创伤,优良的恢复。

  科室有一批高素质、高学历、高度负责敬业爱岗的医务人员。其中主任医师5名、副主任医师5名,主治医师4名,博士2名,硕士研究生9名。担任省神经外科学会委员,市神经外科学会副主委、徐州市抗癌协会神经肿瘤学组副主任委员及各种医疗鉴定、伤残鉴定、慢性病鉴定委员。承担全市各种医疗鉴定、伤残鉴定、慢性病鉴定。荣获多项徐州市科技成果奖,江苏省卫生厅医学引进奖,徐州市医学引进奖。在SCI、中华级等核心期刊发表专业论文数十篇。

  近年来科室团队成员勇于进取,规范治疗,积极开展颅底病变、颅颈交界病变等高难度手术,逐渐形成以颅脑外伤、脑血管病、颅内肿瘤、功能性疾病并行的综合性颅脑外科。

  专家团队介绍

  虞正权

  主任医师 医学博士 博士生导师

  苏州大学附属第一医院神经外科行政副主任,国家临床重点专科、江苏省临床医学中心和江苏省重点学科学术带头人

  专业擅长

  主要从事现代显微神经外科,尤其是脑深部肿瘤、颅底肿瘤和复杂的颅内动脉瘤及动静脉畸形(AVM)的临床研究。娴熟掌握现代神经外科微创理念和技巧,特别擅长颅咽管瘤、松果体区肿瘤、脑室系统肿瘤、丘脑肿瘤、脑干肿瘤等脑中线深部肿瘤的显微手术治疗以及颅底肿瘤、高颈髓髓内肿瘤和各种复杂的颅内动脉瘤和AVM等疑难和高风险手术。

  学术任职

  江苏省医师协会神经外科分会候任会长

  江苏省医学会颅底肿瘤学组首任组长

  苏州市医学会神经外科分会主任委员

  江苏省医学会神经外科分会常务委员

  中国抗癌协会神经肿瘤专业委员会脑转移瘤学组副组长

  江苏省社会办医疗机构协会神经外科分会副会长

  中华医学会中青年神经外科医师联合会常务委员

  《临床神经肿瘤杂志》、《江苏医药》等杂志编委

  2000-2004年初赴瑞典林雪平大学附属医院神经外科进修并攻读博士学位,主要从事现代显微神经外科的学习和研究工作。2004年学成归国后主要从事脑深部肿瘤、颅底肿瘤和复杂的颅内动脉瘤及动静脉畸形(AVM)的临床研究。

  发表相关论文近百篇,其中国外SCI杂志论文50余篇,中华系列核心杂志论文10篇,参编专著2部。获江苏省医学科技一等奖、教育部科学技术进步奖一等奖、江苏省科学技术奖二等奖、教育部科学技术进步奖二等奖各1项,作为主要完成人获省教育厅教育科学研究成果(自然科学奖)二等奖1项,获市级科技进步二等奖1项。承担国家自然基金课题3项,省部级科研课题2项,卫生厅重大课题1项,苏州市重点病种诊疗技术专项1项,国家发明专利2项。

  渠敬峰

  徐州市第一人民医院神经外科主任医师 

  科副主任(主持工作)

  现任江苏省医学会神经外科分会委员

  江苏省医师协会神经外科分会委员

  徐州市医学会神经外科分会副主任委员

  徐州市质控中心神经外科中心副主任

  徐州市卒中协会常务理事

  徐州市抗癌协会神经外科分会秘书长

  徐州医疗事故鉴定委员会专家

  徐州市劳动伤残鉴定委员会专家

  1991年毕业于徐州医学院,2005年在日本大阪成人病医院(心脏及肿瘤中心)神经外科进修学习,从事ICU(重症监测治疗)、神经外科工作20余年,在治疗颅内肿瘤、脑血管病、颅脑外伤、脊髓肿瘤等疾病和手术中,特别对危重病人抢救治疗管理方面具有丰富的临床经验。发表论文数篇,并参与市局级科研工作。

  汤计磊

  徐州市第一人民医院神经外科副主任医师

  医疗组长

  中共党员 外科学硕士

  毕业于江苏大学临床医学专业

  中国神经科学学会会员

  徐州市抗癌协会神经外科分会委员

  从事神经外科工作多年,近年来发表SCI论文1篇,省级以上核心期刊论文多篇,作为主要完成人完成市级课题2项,获徐州市科技进步奖1项。


扫一扫,分享本页