欢迎进入淮海名医网淮海健康在线
您现在的位置是:淮海名医网 > 全网新闻 > 男性健康 > 更精准!更微创!徐州市第一人民医院神经外科神经导航微型手术机器人系统+显微镜“并驾齐驱”,帮他成功清除“大脑杀手”
更精准!更微创!徐州市第一人民医院神经外科神经导航微型手术机器人系统+显微镜“并驾齐驱”,帮他成功清除“大脑杀手”
信息来自:徐州健康网    发布时间:2024-10-08 17:17:00    阅读量:12128次
[摘要]:徐州健康:胶质瘤是颅内最常见的原发性恶性肿瘤,也是神经外科治疗中最棘手的难治性肿瘤之一,常被称之为“大脑杀手”。根据肿瘤细胞与正常细胞的相似程度,胶质瘤分成Ⅰ-Ⅳ级,I、Ⅱ级为低

  胶质瘤是颅内最常见的原发性恶性肿瘤,也是神经外科治疗中最棘手的难治性肿瘤之一,常被称之为“大脑杀手”。

  根据肿瘤细胞与正常细胞的相似程度,胶质瘤分成Ⅰ-Ⅳ级,I、Ⅱ级为低级别胶质瘤,Ⅲ、Ⅳ级为高级别胶质瘤,级别越高,恶性程度越高,严重威胁患者生命健康。因此,早发现、早诊断、最大范围安全切除肿瘤,以及根据需要进行多学科整合诊治就显得尤为重要。

  近日,徐州市第一人民医院神经外科神经肿瘤组组长、副主任医师张继东和团队成员主任医师管军、主治医师纪子腾、住院医师赵赛赛,成功诊断一例临床表现不典型的脑胶质瘤患者,并通过神经导航微型手术机器人辅助,在显微镜下为该患者精准切除了肿瘤,同时成功保护了其运动功能。术后患者恢复良好,未出现癫痫、肢体偏瘫等常见并发症。

  一次常规体检,发现脑袋里有个性质不明的炸弹

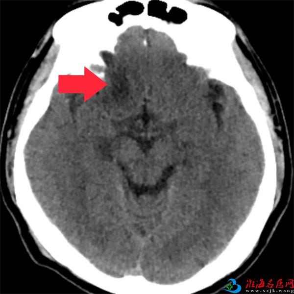
  老家安徽的W先生(化姓)今年57岁,8个月前在外院体检时,意外发现自己右额叶有斑片状低密度病灶,性质不明。半个月前,他又在外院进行头颅磁共振及增强扫描、波谱分析等检查,提示右额叶占位。

术前患者的CT和磁共振影像

  既然是占位,一般考虑为肿瘤,究竟是原发性肿瘤还是转移瘤,还需进一步检查。诊疗结果让W先生意识到自己这次得的不是小病,慎重起见,多方打听后,他慕名来到徐州一院,找到神经肿瘤专家张继东寻求进一步诊治。

  临床无症状、影像不典型,慎之又慎出诊断

  明确的诊断是选择治疗方案的前提。张继东对患者进行详细的问诊,仔细分析影像等相关检查资料,希望找到有力的诊断依据。“根据该患者的临床表现和辅助检查,没有相关证据支持病灶是来源于身体其他部位的转移瘤,而CT和增强磁共振等影像学检查结果分析,也不像典型的胶质瘤。”

术前患者的磁共振波谱

  张继东团队又联合影像专家对患者的磁共振波谱进行分析,发现患者占位处波峰比较高,代谢存在异常。“经过综合评判,我们考虑患者是一个低级别胶质瘤。”张继东表示。

 多学科协作,确定手术方案及路径

  明确诊断后,接下来就是手术方案及路径的选择。科副主任、主任医师渠敬峰主持召开了四级手术术前多学科会诊讨论,专家团队决定联合采用神经导航微型手术机器人系统+显微镜“双剑合璧”,经额入路进行肿瘤切除,实现最大范围安全切除肿瘤,术中注重保护入路经过的正常脑组织及血管神经,确保手术更精准、更微创。

术前采用神经导航微型手术机器人系统定位患者的颅内肿瘤

(红色区域为肿瘤组织)

  为此,张继东和团队术前根据影像专家用高精度的磁共振成像与CT扫描数据构建出的患者颅内肿瘤三维模型,通过神经导航微型手术机器人系统,将模型与患者实际解剖结构精准匹配,为手术入路提供了直观的可视化指导。

  一切准备就绪。

  手术过程堪比豆腐上雕花,凭的是精湛的技艺

  失之毫厘,谬之千里,既要尽可能切除肿瘤,还要保证不能损伤重要的血管神经和正常脑组织,手术难度和惊险程度不言而喻。

  手术当天,在该院建有专家工作站的神经外科知名专家、苏州大学附属第一医院神经外科虞正权教授受邀和张继东、管军联合为患者实施了这台名副其实的微创显微手术。徐州一院神经外科麻醉专业组组长杨丽、姚莹莹、赵盼盼团队,手术护理团队王迪雅、张海婷等共同参与了手术。

  手术过程堪比一场大师级的微雕现场秀。面对脆弱的脑组织,虞正权教授和张继东全神贯注,在导航系统的实时引导下,他们手持带有传感器的手术器械,精准定位肿瘤位置,在显微镜下轻柔熟练地操作着,确保每一根神经血管都被小心呵护。他们不仅展现出了超凡的手术技艺,还有对每一个手术细节的极致追求和对患者生命的最大尊重。

  最终,病变组织被成功切除。

术后患者的CT和磁共振影像

  工欲善其事,必先利其器。据张继东介绍,神经导航微型手术机器人系统能够对病灶精确定位,选择最佳手术入路,提高病变全切率,降低手术并发症,使创伤更小,手术更快速、更精确、更安全。

  成功的手术离不开术后精心的护理。术后,在护士长刘玲团队的精心照顾下,W先生恢复良好,不久前已康复出院。面对朝夕守护的医护人员,W先生和家人充满了感激之情,出院前特意制作两面锦旗送来,以表达深深地感谢与敬意。

  科室介绍

  徐州市第一人民医院神经外科是徐州市医学重点专科。国家级神经系统疾病治疗联盟单位,国家级意识障碍研究联盟单位。国家著名神经外科专家北京中日友好医院于炎冰教授工作站、苏州大学附属第一医院虞正权教授专家团队工作站均落户于此。

  科室设备先进精良,拥有大型手术显微镜,神经内窥镜、脑室镜、手术动力系统等先进设备仪器,保证了复杂手术的安全进行。病房设备完善的神经外科监护室及中心监护系统保证了病员术后的观察治疗。

  科室常规开展手术项目包括:

  1、颅内各类脑膜瘤、胶质瘤、垂体瘤、听神经瘤、颅咽管瘤、椎管内脊髓肿瘤、脑积水、颅骨缺损、各型颅脑外伤的抢救、脑出血、大面积脑梗死的抢救;

  2、微血管减压治疗三叉神经痛、面肌抽搐、脑瘫等功能神经微创手术;

  3、颅内复杂的脑血管畸形切除术,各部位颅内脑动脉瘤夹闭术;

  4、顽固性癫痫的手术治疗、帕金森病(DBS)脑深部电刺激治疗;

  5、斜坡肿瘤,听神经瘤切除功能保留,脑干肿瘤切除,脊髓髓内肿瘤切除,颅底肿瘤切除,海绵窦肿瘤切除,枕大孔区肿瘤切除,颅眶、颅鼻沟通肿瘤等复杂手术;

  6、成熟开展神经内镜下鞍区病变切除,使神经外科真正走向微创、精准治疗,使病患得到最大程度减小创伤,优良的恢复。

  科室有一批高素质、高学历、高度负责敬业爱岗的医务人员。其中主任医师5名、副主任医师5名,主治医师4名,博士2名,硕士研究生9名。担任省神经外科学会委员,市神经外科学会副主委、徐州市抗癌协会神经肿瘤学组副主任委员及各种医疗鉴定、伤残鉴定、慢性病鉴定委员。承担全市各种医疗鉴定、伤残鉴定、慢性病鉴定。荣获多项徐州市科技成果奖,江苏省卫生厅医学引进奖,徐州市医学引进奖。在SCI、中华级等核心期刊发表专业论文数十篇。

  近年来科室团队成员勇于进取,规范治疗,积极开展颅底病变、颅颈交界病变等高难度手术,逐渐形成以颅脑外伤、脑血管病、颅内肿瘤、功能性疾病并行的综合性颅脑外科。

  专家团队介绍

  虞正权

  主任医师 医学博士 博士生导师

  苏州大学附属第一医院神经外科行政副主任,国家临床重点专科、江苏省临床医学中心和江苏省重点学科学术带头人

  专业擅长

  主要从事现代显微神经外科,尤其是脑深部肿瘤、颅底肿瘤和复杂的颅内动脉瘤及动静脉畸形(AVM)的临床研究。娴熟掌握现代神经外科微创理念和技巧,特别擅长颅咽管瘤、松果体区肿瘤、脑室系统肿瘤、丘脑肿瘤、脑干肿瘤等脑中线深部肿瘤的显微手术治疗以及颅底肿瘤、高颈髓髓内肿瘤和各种复杂的颅内动脉瘤和AVM等疑难和高风险手术。

  学术任职

  江苏省医师协会神经外科分会候任会长

  江苏省医学会颅底肿瘤学组首任组长

  苏州市医学会神经外科分会主任委员

  江苏省医学会神经外科分会常务委员

  中国抗癌协会神经肿瘤专业委员会脑转移瘤学组副组长

  江苏省社会办医疗机构协会神经外科分会副会长

  中华医学会中青年神经外科医师联合会常务委员

  《临床神经肿瘤杂志》《江苏医药》等杂志编委

  2000-2004年初赴瑞典林雪平大学附属医院神经外科进修并攻读博士学位,主要从事现代显微神经外科的学习和研究工作。2004年学成归国后主要从事脑深部肿瘤、颅底肿瘤和复杂的颅内动脉瘤及动静脉畸形(AVM)的临床研究。

  发表相关论文近百篇,其中国外SCI杂志论文50余篇,中华系列核心杂志论文10篇,参编专著2部。获江苏省医学科技一等奖、教育部科学技术进步奖一等奖、江苏省科学技术奖二等奖、教育部科学技术进步奖二等奖各1项,作为主要完成人获省教育厅教育科学研究成果(自然科学奖)二等奖1项,获市级科技进步二等奖1项。承担国家自然科学基金课题3项,省部级科研课题2项,卫生厅重大课题1项,苏州市重点病种诊疗技术专项1项,国家发明专利2项。

  渠敬峰

  徐州市第一人民医院神经外科主任医师 

  科副主任(主持工作)

  现任江苏省医学会神经外科分会委员

  江苏省医师协会神经外科分会委员

  徐州市医学会神经外科分会副主任委员

  徐州市质控中心神经外科中心副主任

  徐州市卒中协会常务理事

  徐州市抗癌协会神经外科分会秘书长

  徐州医疗事故鉴定委员会专家

  徐州市劳动伤残鉴定委员会专家

  1991年毕业于徐州医学院,2005年在日本大阪成人病医院(心脏及肿瘤中心)神经外科进修学习,从事ICU(重症监测治疗)、神经外科工作20余年,在治疗颅内肿瘤、脑血管病、颅脑外伤、脊髓肿瘤等疾病和手术中,特别对危重病人抢救治疗管理方面具有丰富的临床经验。发表论文数篇,并参与市局级科研工作。

  张继东

  徐州市第一人民医院神经外科医疗组长

  副主任医师 医学硕士

  江苏省第二届医疗损害鉴定专家库成员

  徐州市医学会神经外科委员会委员

  徐州市紧急医学救援工作专家组成员

  徐州市介入神经病学研究会卒中急救分会委员

  从事神经外科专业15年,擅长脑出血及重型颅脑损伤的救治,熟练掌握功能神经外科(面肌痉挛及三叉神经痛等)、神经系统肿瘤(包括椎管内肿瘤)及脑血管病的诊断与治疗。

  主持及参与徐州市科技局课题2项,发表省级以上及核心期刊论文数篇。


扫一扫,分享本页