欢迎进入淮海名医网淮海健康在线
您现在的位置是:淮海名医网 > 全网新闻 > 女性健康 > 淌了5年的清水“鼻涕”,让徐州市第一人民医院跨学科团队给“堵”住了!
淌了5年的清水“鼻涕”,让徐州市第一人民医院跨学科团队给“堵”住了!
信息来自:徐州健康网    发布时间:2024-10-15 14:17:00    阅读量:13321次
[摘要]:徐州健康:大地上源源不断的清水,往往预示着不远处有一汪清泉,常常给生命带来惊喜;但如果这股“清泉”藏在我们的身体里,那带来的恐怕不只是惊吓,甚至有可能危及生命。患者L女士(化姓)

  大地上源源不断的清水,往往预示着不远处有一汪清泉,常常给生命带来惊喜;但如果这股“清泉”藏在我们的身体里,那带来的恐怕不只是惊吓,甚至有可能危及生命。

  患者L女士(化姓)最近就因为自己身体里的这股“小清泉”,差点儿住进了ICU。故事还要从5年前说起……

  莫名其妙的清水“鼻涕”淌了5年

  “大概5年多前,我发现自己清水鼻涕不断,平躺时还会流到嗓子眼儿。起初我以为是鼻炎也没在意,后来因为擦不完的鼻涕,而且经常无故头痛,我就去了医院。医生看了大都说是鼻炎、鼻窦炎,治疗后非但不见好,反而越来越重。这次头痛加剧、反复发烧才想着去做了CT。结果拿到报告,我吓了一跳。”L女士回忆着患病经过。

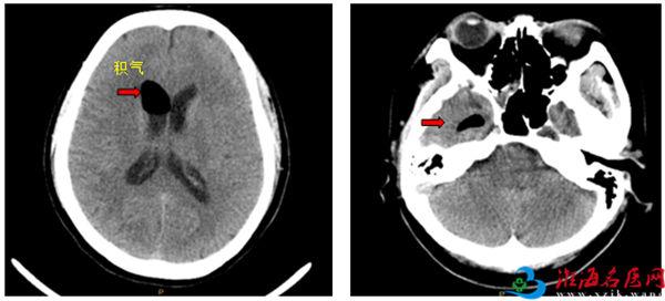
影像检查示患者颅内积气

  颅内有积气,颅底有漏口,差点儿把她送进ICU……

  外院CT检查报告显示,L女士颅内有积气,还有一个脑膜瘤。颅内积气又称外伤性气颅,是颅外或含气骨内气体进入颅内而形成,为头部外伤或开颅手术的一种并发症。“我既没受过外伤,也没做过手术,怎么会有颅内积气?”L女士感到很诧异。因病情复杂,且当时L女士已有较重的颅内感染,医生建议将其收入ICU先行抗感染,稳定后再联系其他医院专家手术治疗。

 辗转来到徐州一院寻求治疗

  听说要进ICU,L女士和家人都吓坏了,多方打听后,慕名来到徐州一院,找到神经外科知名专家、名誉科主任徐锋教授,寻求帮助。徐锋根据患者的影像资料,结合病史,证实患者颅底骨质漏口是造成颅内积气和多年清水“鼻涕”持续流淌的原因。当听说这些年鼻腔里淌的不是鼻涕而是脑脊液时,L女士和家人都大吃一惊。

  好好的颅骨,怎么会漏了呢?

  病根儿竟是先天性脑膜脑膨出

  “这种疾病叫先天性脑膜脑膨出,属于神经管闭合障碍,由于先天性颅底发育异常致颅底脑膜脑膨出,长时间的膨出组织挤压使颅底骨质出现漏口,引起自发性脑脊液鼻漏。你的漏口需要手术进行修补,但是目前先要抗感染治疗。”听完徐主任的讲解,L女士和家人才恍然大悟。

  跨专科协同手术,成功堵漏

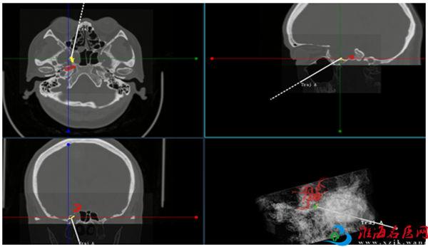
  病因查明后,治疗就有了方向。经过积极治疗,L女士颅内感染症状得到控制,手术也排上日程。由于漏口位于蝶窦外侧隐窝,靠近颈内动脉,徐锋启动了鼻眼、鼻颅多学科会诊。专家组讨论后决定由神经外科和耳鼻咽喉科联合进行手术,利用神经导航微型手术机器人系统进行漏口的实时定位,经鼻微创入路在内镜下进行脑脊液鼻漏修补术,将手术创伤降至最低。

  手术当天,在麻醉团队戴必照、卢思宇、孙媛媛和护理团队周慧、杨依心的密切配合下,徐锋和团队成员副主任医师张继东、主任医师朱保平,耳鼻咽喉科副主任、主任医师王浩联合为患者实施了手术,成功修补了漏口。

淌了5年的清水“鼻涕”终于堵住了!

  L女士和家人对手术效果非常满意,对徐州一院专家高超的医疗技术水平连连称赞,并打算半年后再来该院进行脑膜瘤切除手术。

  科室介绍

  徐州市第一人民医院神经外科是徐州市医学重点专科。国家级神经系统疾病治疗联盟单位,国家级意识障碍研究联盟单位。国家著名神经外科专家北京中日友好医院于炎冰教授工作站、苏州大学附属第一医院虞正权教授专家团队工作站均落户于此。

  科室设备先进精良,拥有大型手术显微镜,神经内窥镜、脑室镜、手术动力系统等先进设备仪器,保证了复杂手术的安全进行。病房设备完善的神经外科监护室及中心监护系统保证了病员术后的观察治疗。

  科室常规开展手术项目包括:

  1、颅内各类脑膜瘤、胶质瘤、垂体瘤、听神经瘤、颅咽管瘤、椎管内脊髓肿瘤、脑积水、颅骨缺损、各型颅脑外伤的抢救、脑出血、大面积脑梗死的抢救;

  2、微血管减压治疗三叉神经痛、面肌抽搐、脑瘫等功能神经微创手术;

  3、颅内复杂的脑血管畸形切除术,各部位颅内脑动脉瘤夹闭术;

  4、顽固性癫痫的手术治疗、帕金森病(DBS)脑深部电刺激治疗;

  5、斜坡肿瘤,听神经瘤切除功能保留,脑干肿瘤切除,脊髓髓内肿瘤切除,颅底肿瘤切除,海绵窦肿瘤切除,枕大孔区肿瘤切除,颅眶、颅鼻沟通肿瘤等复杂手术;

  6、成熟开展神经内镜下鞍区病变切除,使神经外科真正走向微创、精准治疗,使病患得到最大程度减小创伤,优良的恢复。

  科室有一批高素质、高学历、高度负责敬业爱岗的医务人员。其中主任医师5名、副主任医师5名,主治医师4名,博士2名,硕士研究生9名。担任省神经外科学会委员,市神经外科学会副主委、徐州市抗癌协会神经肿瘤学组副主任委员及各种医疗鉴定、伤残鉴定、慢性病鉴定委员。承担全市各种医疗鉴定、伤残鉴定、慢性病鉴定。荣获多项徐州市科技成果奖,江苏省卫生厅医学引进奖,徐州市医学引进奖。在SCI、中华级等核心期刊发表专业论文数十篇。

  近年来科室团队成员勇于进取,规范治疗,积极开展颅底病变、颅颈交界病变等高难度手术,逐渐形成以颅脑外伤、脑血管病、颅内肿瘤、功能性疾病并行的综合性颅脑外科。

  专家团队介绍

  徐  锋

  徐州市第一人民医院神经外科名誉主任 

  主任医师

  江苏省“333高层次人才培养工程”中青年科学技术带头人

  江苏省神经外科学会委员

  徐州市神经外科学会委员

  徐州市优秀专家

  徐州市医疗鉴定委员会专家

  徐州市劳动伤残鉴定委员会专家

  1986年毕业于现东南大学,1993年在法国圣太田大学教学医院BELLEVUE医院进修神经外科专业,2002年在日本名古屋大学教学医院半田病院进修。

  在颅脑创伤的救治、脑出血及颅脑肿瘤的手术方面积累了丰富的临床经验。应用神经内窥镜进行微创单鼻孔垂体瘤切除术及三叉神经痛面肌抽搐方面均获得满意疗效。

  获江苏省医学新技术引进奖二等奖一项、徐州市科技进步二等奖一项、完成市青年科研课题一项、市科研课题一项。参与公开出版的两本神经外科专著的编写,在全国及省、市级以上专业杂志发表论文10余篇,多次获市优秀论文奖。

  专家门诊时间:每周一全天

  专家门诊地址:门诊楼(3号楼)2层 第三诊区5诊室

  王  浩

  徐州市第一人民医院耳鼻咽喉科副主任

  主任医师

  江苏省医学会耳鼻咽喉分会第十一届委员

  江苏省医学会耳鼻咽喉分会头颈外科学组委员

  省研究型医院学会耳鼻咽喉内镜专委会委员

  江苏省中西医结合学会耳鼻咽喉专委会委员

  中国抗癌协会康复会江苏省头颈肿瘤专委会委员

  全国耳内镜外科技术规范化培训协作组成员

  徐州医学会耳鼻咽喉科分会副主任委员

  徐州市耳鼻喉专业质量控制中心专委会副主任

  徐州市医疗事故鉴定委员会专家库成员

  徐州市残联听力残疾评定专家

  意大利那不勒斯 Antonio Cardarelli省院及M0ALDI医院访问学者

  专业擅长鼻内窥镜及鼾症、头颈肿瘤等手术治疗。

  专家门诊时间:每周五全天

  专家门诊地址:门诊楼(3号楼)3层 南区东侧 耳鼻咽喉科诊区

  张继东

  徐州市第一人民医院神经外科医疗组长

  副主任医师 医学硕士

  江苏省第二届医疗损害鉴定专家库成员

  徐州市医学会神经外科委员会委员

  徐州市紧急医学救援工作专家组成员

  徐州市介入神经病学研究会卒中急救分会委员

  从事神经外科专业15年,擅长脑出血及重型颅脑损伤的救治,熟练掌握功能神经外科(面肌痉挛及三叉神经痛等)、神经系统肿瘤(包括椎管内肿瘤)及脑血管病的诊断与治疗。

  主持及参与徐州市科技局课题2项,发表省级以上及核心期刊论文数篇。

  专家门诊时间:每周三全天

  专家门诊地址:门诊楼(3号楼)2层 第三诊区5诊室


扫一扫,分享本页