欢迎进入淮海名医网淮海健康在线
您现在的位置是:淮海名医网 > 全网新闻 > 老年护理 > “超级侦探”高分辨率磁共振血管壁成像技术 徐州市中心医院开启脑血管病诊疗新篇章
“超级侦探”高分辨率磁共振血管壁成像技术 徐州市中心医院开启脑血管病诊疗新篇章
信息来自:徐州健康网    发布时间:2025-03-28 09:01:00    阅读量:12232次
[摘要]:徐州健康:血管就像一条条公路,负责把血液输送到身体的每个角落。这些“公路”可能会出现拥堵、破损,以往观测公路是否通畅,探查不到路况的根本原因。“超级侦探”高分辨率磁共振血管壁成

  血管就像一条条公路,负责把血液输送到身体的每个角落。这些“公路”可能会出现拥堵、破损,以往观测公路是否通畅,探查不到路况的根本原因。“超级侦探”高分辨率磁共振血管壁成像技术,安全、无创、可重复,清晰显示血管腔、血管壁,不仅清晰显示血管内部,还能探测血管壁内部“隐患”。

  “超级侦探”破案疑难杂症

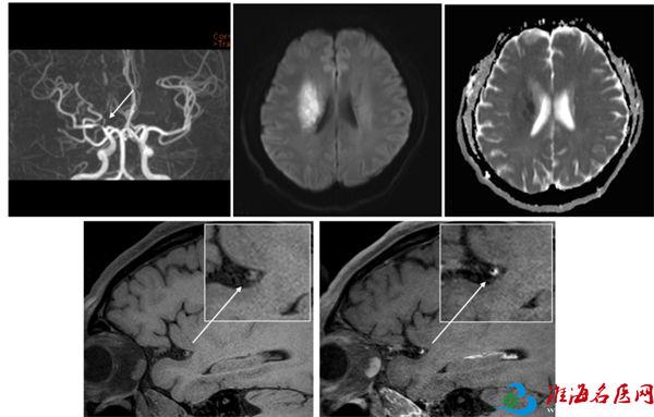
  日前,患者王先生(68岁)因左侧肢体无力2天在外院被诊断为脑梗,为求进一步诊治,王先生及家人来到我院神经内科就诊。为精准定位责任血管病因,CT室采用“超级侦探”——高分辨率磁共振血管壁成像(VW-HRMRI)技术,准确诊断病因,为患者后续的治疗奠定基础。

  “超级侦探”深入探查患者血管壁内部,通过磁共振3D TOF-MRA序列精准定位右侧大脑中动脉 M1段狭窄,经磁共振弥散成像(DWI及ADC序列)发现右侧基底节区急性梗死灶,通过3D-SPACE平扫及增强扫描显示患者病灶位于右侧大脑中动脉M1段背侧壁。

  清晰呈现患者血管壁特征(偏心性斑块、明显强化、正性重构等)后,CT室诊断患者右侧大脑中动脉M1段病灶为“高危易损斑块”,后神经内科医生综合影像评估与临床特征,为患者定制个体化诊疗方案,治疗后患者症状显著改善并顺利出院康复。

  开启脑血管病诊疗新篇章

  VW-HRMRI技术能清楚显示血管壁、血管腔,对动脉血管壁进行定性、定量分析,从而进行精准的影像评估,更好地鉴别责任血管病因,提前发现血管问题,帮助临床更有针对性的诊疗。

  1. 脑卒中精准溯源

  可明确动脉粥样硬化、动脉炎、动脉瘤、动脉夹层等病因,破解传统影像遗漏的血管壁病因,为制定治疗策略提供重要依据。

  2. 斑块风险预警

  通过斑块形态学(偏心性/向心性)、强化特征(轻/中/重度强化)、重构方式等三维评估,准确识别易损斑块。

 3. 个性化治疗方案

  提供血管壁特征、管腔狭窄率等数项量化参数,辅助制定药物干预、血管内治疗等方案。

  4. 治疗效果动态监测

  通过多模态影像对比,实时评估支架置入、药物控制等治疗效果。

  徐州市中心医院CT、MRI室

  VW-HRMRI技术

  徐州市中心医院CT、MRI室自开展颅脑及颈部VW-HRMRI技术以来,已完成数百例精准扫描,发表数篇相关研究成果,为临床治疗提供重要依据。

  VW-HRMRI技术的运用,让颈动脉和脑动脉血管病变探查更精确,通过有迹可循的血管状况,让预防和治疗脑血管病更有依据。随着磁共振技术的持续进步,VW-HRMRI的潜力将进一步释放,从疑难杂症的破案到复杂病情的动态监测。未来,它不仅在脑血管病中占据重要地位,还可能扩展至全身血管评估。通过精准成像,VW-HRMRI将进一步提升医学影像的诊断深度和治疗决策的科学性。高分辨磁共振血管壁成像,正在打开脑血管病诊断与治疗的新篇章,为精准医学和个性化医疗注入了全新动力。

  徐州市中心医院将持续通过技术创新,为心脑血管疾病患者提供更早、更准、更安全的诊疗服务。未来我们将继续以毫米级精准诊断,守护每一条生命通道——因为每一次血管壁的清晰成像,都是对抗卒中的有力宣言。

  师毅冰

  CT、MRI室主任

  主任医师 研究生导师

  重点研究方向:中枢神经系统、头颈部及循环系统的影像诊断及鉴别诊断

  江苏省重点专科学科带头人,国家级影像规培基地主任,江苏省“333高层次人才”培养对象,徐州市医学领军人才。先后发表SCI及核心期刊论文30余篇,承担国家卫健委及省市级科研课题10项,获江苏省新技术引进奖1项,徐州市科学技术奖4项,徐州市新技术引进奖9项,淮海科学技术奖4项。

  王 颖

  CT、MRI室主治医师 医学硕士

  个人经历:毕业于江苏大学,2016年研究生毕业工作至今,发表SCI论文2篇,获徐州市中心医院先进个人。  

  擅长常见疾病的CT及MR诊断,尤其对颅内及颈部动脉血管壁磁共振成像诊断积累了丰富的经验。


扫一扫,分享本页